新所沢ぎぼ歯科・矯正歯科クリニック|新所沢駅東口の目の前にある歯科 / 矯正歯科

〒359-0044 埼玉県所沢市松葉町2-22 矢島ビル2階
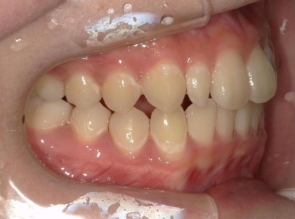
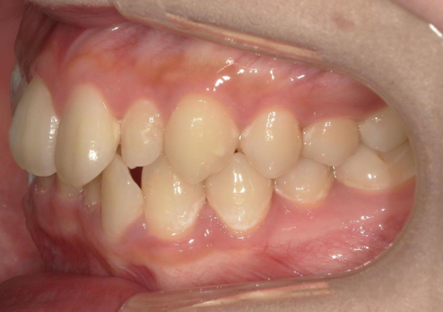
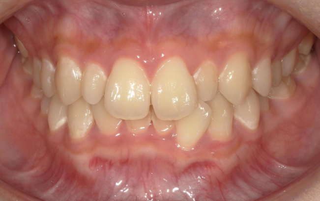
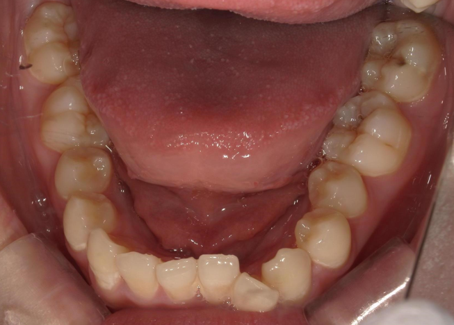
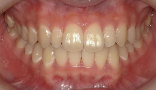
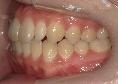
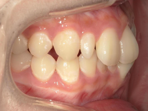
年齢 20代女性
主訴

前歯部叢生

治療期間 2024年10月~2026年3月
矯正種類 マウスピース矯正(クリアコレクト)
治療費用

マウスピース矯正 680,000円
リテーナー     35,000円
調整料 80,000円(5,000円✕18ヶ月)
合計(税込)     874,500円

矯正治療リスク

・マウスピース装着時間不足による治療遅延
・矯正治療中の歯の移動に伴う痛み
・矯正治療による詰め物、被せ物の脱離

BEFORE

AFTER

戻る 治療症例一覧へ

〒359-0044埼玉県所沢市松葉町2-22 矢島ビル2階

診療時間
09:00 13:00
14:00 17:30

休診日…木曜日、日曜日、祝日

▲14:00~17:00 ※祝日のある週は木曜日診療